Praxis Implantologie Orale Chirurgie Dr. med dent Mustafa Ayna Master Science Implantologie Master Science Orale Chirurgie
Praxis Implantologie Orale ChirurgieDr. med dent Mustafa AynaMaster Science ImplantologieMaster Science Orale Chirurgie

Sofortimplantat

Bevor Sie sich ein Zahn entfernen lassen sollten, nutzen Sie die Möglichkeit einer Zweitmeinung und profitieren Sie von modernen Entwicklungen in der Implantologie.

Dr. Ayna hat schon vor 29 Jahren Sofortimplantate erfolgreich gesetzt.

Beispielhaft eine Patientin mit einem abgebrochenen Frontzahn und die Versorgung mit einem Sofortimplantat und einem Keramikzahn.

 

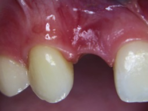
Ein seitlicher Frontzahn ist verloren gegangen.

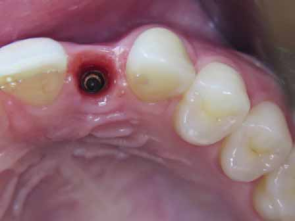
Ein Implantat ersetzt als künstlicher Wurzel den Zahnverlust.

Die Lücke mit einem Keramikzahn versorgt.

Ein Keramikzahn auf dem Implantat ersetzt den verloren gegangenen Zahn.

Zahnimplantat, Sofortimplantat, Zahnverlust, Sofortversorgung, Zahnimplantat Duisburg, zahnimplantat moers, Zahnimplantat Mülheim

 

Hier finden Sie uns

Praxis Implantologie

Orale Chirurgie

Universitätsdozent für Implantologie 

Privatdozent Dr. Mustafa Ayna MSc MSc

Düsseldorfer Landstr. 153

47249 Duisburg 

Termine direkt

Rufen Sie einfach an +49 203 2898860 oder nutzen Sie unser Kontaktformuar.

Unsere Öffnungszeiten

Mo. :

07:30  - 12:00 

13:00  - 18:00 

Di., Do. :

07:30  - 12:00 

13:00  - 18:00 

Mi. :

07:30  - 13:30 

Fr. :

07:30  - 13:00 

Wir freuen uns, bald von Ihnen zu hören!

Druckversion | Sitemap
© Praxis Implantologie Orale Chirurgie Dr. Mustafa Ayna MSc MSc