Praxis Implantologie Orale Chirurgie Dr. med dent Mustafa Ayna Master Science Implantologie Master Science Orale Chirurgie
Praxis Implantologie Orale ChirurgieDr. med dent Mustafa AynaMaster Science ImplantologieMaster Science Orale Chirurgie

Veneers, Inlays, Overlays 

 

Veneers auf höchstem Niveau

 

Ästhetische Perfektion aus 29 Jahren Erfahrung

 

Ein schönes Lächeln ist mehr als Ästhetik – es ist Ausdruck von Persönlichkeit, Selbstbewusstsein und Lebensqualität. Veneers gehören heute zu den anspruchsvollsten und elegantesten Lösungen der modernen ästhetischen Zahnmedizin.

In der Praxis von Priv.-Doz. Dr. Mustafa Ayna verbinden sich wissenschaftliche Präzision, künstlerisches Feingefühl und jahrzehntelange Erfahrung zu einer Form der Veneer-Behandlung, die höchsten internationalen Standards entspricht.

Mit über 29 Jahren Berufserfahrung zählt Dr. Ayna zu den führenden Spezialisten für ästhetisch anspruchsvolle Veneer-Versorgungen in Deutschland.

 


 

Was sind Veneers?

 

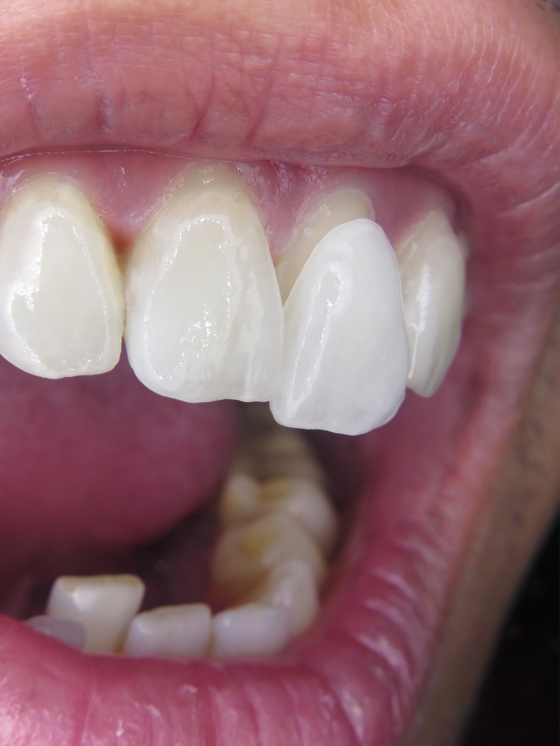
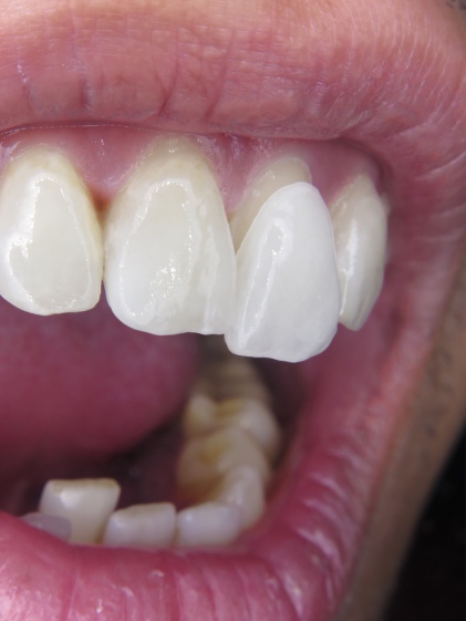
Veneers sind hauchdünne, individuell gefertigte Keramikschalen, die dauerhaft auf die Vorderfläche der Zähne geklebt werden. Sie ermöglichen es, Form, Farbe und Stellung der Zähne präzise zu korrigieren – schonend, langlebig und natürlich.

Sie eignen sich besonders bei:

  • Verfärbungen

  • leichten Fehlstellungen

  • abgebrochenen oder abgenutzten Zähnen

  • Zahnlücken

  • unharmonischer Zahnform

Das Ziel: Ein ästhetisches Ergebnis, das nicht künstlich wirkt – sondern perfekt zu Ihrem Gesicht passt.


Zahn Veneer Keramik Dr. Ayna Duisburg

29 Jahre Erfahrung – Der entscheidende Unterschied

 

Veneer-Behandlungen auf Spitzenniveau erfordern weit mehr als technisches Können. Sie verlangen:

✔ ein geschultes ästhetisches Auge
✔ tiefes Verständnis für Gesichtsproportionen
✔ Erfahrung mit komplexen Fällen
✔ absolute Präzision in Planung und Umsetzung

Seit fast drei Jahrzehnten begleitet Dr. Ayna Patientinnen und Patienten auf dem Weg zu ihrem individuellen Traumlächeln. Diese Erfahrung fließt in jede einzelne Versorgung ein – von der ersten Analyse bis zur finalen Feinanpassung.

Das Ergebnis: Ästhetik mit Substanz. Schönheit mit Beständigkeit.


Individuelles Smile Design – Ihr Lächeln wird geplant, nicht dem Zufall überlassen

 

Jede Veneer-Behandlung beginnt mit einer umfassenden digitalen und klinischen Analyse:

  • Gesichtsproportionen

  • Lippenverlauf

  • Zahnachsen

  • Bisslage

  • Sprech- und Lachlinie

Mithilfe moderner Smile-Design-Technologien können Sie Ihr zukünftiges Lächeln bereits vor der Behandlung sehen und mitgestalten.

So entsteht kein „Standard-Hollywood-Smile“, sondern ein maßgeschneidertes, harmonisches Ergebnis.


Hochleistungs-Keramik für höchste Ansprüche

 

In der Praxis Dr. Ayna werden ausschließlich hochwertige Keramikmaterialien verwendet, die:

  • extrem langlebig

  • farbstabil

  • biokompatibel

  • lichtdurchlässig wie natürlicher Zahnschmelz

sind.

Jedes Veneer wird in enger Zusammenarbeit mit spezialisierten Meisterlaboren individuell gefertigt – ein echtes Unikat für Ihr Lächeln.


Minimalinvasiv & substanzschonend

 

Ein zentrales Prinzip der Philosophie von Dr. Ayna ist der Erhalt gesunder Zahnsubstanz.

Dank moderner Techniken können Veneers heute häufig:

  • mit minimalem Abtrag

  • teilweise sogar non-invasiv

  • besonders schonend

eingesetzt werden.

So bleibt Ihre natürliche Zahnstruktur maximal erhalten.


Für wen eignen sich Veneers besonders?

 

Veneers sind ideal für Menschen, die:

  • höchste ästhetische Ansprüche haben

  • ein natürliches, elegantes Lächeln wünschen

  • langfristige Qualität suchen

  • Wert auf präzise Planung legen

Besonders gefragt sind Veneers bei:

  • Führungskräften

  • Unternehmern

  • Medienpersönlichkeiten

  • anspruchsvollen Privatpatienten

die keine Kompromisse eingehen möchten.


Langfristige Stabilität durch funktionelle Kompetenz

 

Ästhetik allein reicht nicht aus.

Ein schönes Lächeln muss auch funktionell stabil sein.
Fehlbelastungen, falsche Bisslagen oder Spannungen können Veneers langfristig gefährden.

Durch seine umfassende Expertise in Funktionsdiagnostik und Prothetik stellt Dr. Ayna sicher, dass Ihre Veneers:

✔ ästhetisch perfekt
✔ funktionell stabil
✔ langfristig belastbar

sind.


Warum Dr. Ayna als Spezialist für ästhetische Versorgungen?

 

Patientinnen und Patienten entscheiden sich für Dr. Ayna, weil er:

✨ über 29 Jahre Erfahrung vereint
✨ universitäre Expertise besitzt
✨ modernste Technologien einsetzt
✨ individuell plant
✨ höchste Qualitätsstandards lebt

Hier entstehen keine Massenlösungen, sondern exklusive Meisterarbeiten.


Unser Anspruch: Ihr bestes Lächeln

 

Eine Veneer-Versorgung bei Dr. Ayna bedeutet:

  • persönliche Betreuung

  • ausführliche Beratung

  • transparente Planung

  • höchste Präzision

  • nachhaltige Qualität

Ihr Lächeln wird nicht „verschönert“ – es wird perfektioniert.


Persönliche Beratung

Möchten Sie wissen, ob Veneers für Sie geeignet sind?

Gerne beraten wir Sie individuell und unverbindlich.

Keramikinlay Keramikonlay Veneer Keramikkrone Dr. Ayna Duisburg

Veneers

  • Veneers Duisburg

  • Veneers Zahnarzt Duisburg

  • Veneers Spezialist Duisburg

  • Veneers Premium Duisburg

  • Keramik Veneers Duisburg

  • Hollywood Smile Veneers Duisburg

  • Ästhetische Veneers Duisburg

Keramikinlays

  • Keramikinlays Duisburg

  • Keramikinlay Duisburg

  • Inlay Keramik Duisburg

  • Keramikinlays Zahnarzt Duisburg

  • Keramikinlays Premium Duisburg

Keramik-Onlays

  • Keramik Onlays Duisburg

  • Keramikonlay Duisburg

  • Onlay Keramik Duisburg

  • Teilkrone Keramik Duisburg

  • Keramik Teilkrone Duisburg

 

Veneers

  • Hochwertige Veneers

  • Natürliche Veneers

  • Minimalinvasive Veneers

  • Dünne Keramikveneers

  • Veneers Frontzähne

  • Veneers Smile Design

  • Digitale Veneers Planung

Keramikinlays

  • Metallfreie Inlays

  • Biokompatible Keramikinlays

  • CAD CAM Inlays Keramik

  • Präzisionsinlays Keramik

  • Langlebige Keramikinlays

Keramik-Onlays

  • Hochwertige Keramik Onlays

  • Substanzschonende Onlays

  • Minimalinvasive Teilkronen

  • Keramik Overlay Zahn

  • Digitale Onlay Versorgung

 

Veneers

  • beste Veneers in Duisburg

  • erfahrener Zahnarzt für Veneers Duisburg

  • Veneers mit natürlicher Ästhetik

  • Premium Veneers ohne Beschleifen

  • Veneers mit digitalem Smile Design

  • Veneers auf Universitätsniveau

Keramikinlays

  • Keramikinlays statt Füllung Duisburg

  • hochwertige Keramikinlays Backenzähne

  • Inlay Keramik langlebig Duisburg

  • Keramikinlays mit Garantie

  • Keramikinlays Spezialpraxis Ruhrgebiet

Keramik-Onlays

  • Keramik Onlay statt Krone Duisburg

  • Teilkrone Keramik hochwertig

  • Keramik Onlays minimalinvasiv

  • langlebige Keramik Onlays Backenzahn

  • Premium Onlay Versorgung Ruhrgebiet


  • Veneers Duisburg Innenstadt

  • Veneers Neudorf / Wanheimerort / Hamborn

  • Keramikinlays Meiderich

  • Keramikinlays Ruhrort

  • Keramik Onlays Mülheim

  • Keramik Onlays Oberhausen

  • Veneers Ruhrgebiet

  • Veneers NRW

Hier finden Sie uns

Praxis Implantologie

Orale Chirurgie

Universitätsdozent für Implantologie 

Privatdozent Dr. Mustafa Ayna MSc MSc

Düsseldorfer Landstr. 153

47249 Duisburg 

Termine direkt

Rufen Sie einfach an +49 203 2898860 oder nutzen Sie unser Kontaktformuar.

Unsere Öffnungszeiten

Mo. :

07:30  - 12:00 

13:00  - 18:00 

Di., Do. :

07:30  - 12:00 

13:00  - 18:00 

Mi. :

07:30  - 13:30 

Fr. :

07:30  - 13:00 

Wir freuen uns, bald von Ihnen zu hören!

Druckversion | Sitemap
© Praxis Implantologie Orale Chirurgie Dr. Mustafa Ayna MSc MSc