Praxis Implantologie Orale Chirurgie Dr. med dent Mustafa Ayna Master Science Implantologie Master Science Orale Chirurgie
Praxis Implantologie Orale ChirurgieDr. med dent Mustafa AynaMaster Science ImplantologieMaster Science Orale Chirurgie

All on 4 neues Therapiekonzept Implantate ohne Knochenaufbau

Zahnimplantate Duisburg Zahnersatz         all on 4

Wir sind die erste Praxis in Deutschland, die eine All on 4 Studie in einer internationalen Zeitschrift für den Unterkiefer vorweisen konnte.

"Journal of Oral Implantology" 2014
Titel "Comprehensive comparison of the 5-year results of 'All-on-4™' mandibular implant systems with acrylic and ceramic suprastructures, respectively."

http://www.joionline.org/doi/abs/10.1563/aaid-joi-D-14-00016

 

Mittlerweile haben wir 4 internationale Studien über das All on 4 Verfahren. Somit sind wir die einzige Praxis mit Studien über All on 4 im Unterkiefer und im Oberkiefer. Das All-on-4 Konzept wurde entwickelt, um Patienten mit einem zahnlosen Kiefer eine sichere, komfortable und bezahlbare Versorgung zu ermöglichen. Die festsitzende Versorgung basiert nur auf vier Implantaten.

 

All-on-4® in Duisburg – Einzigartig in Deutschland bei Priv.-Doz. Dr. Mustafa Ayna

Feste Zähne an einem Tag im Ober- und Unterkiefer

Warum All-on-4® bei Dr. Ayna?

Priv.-Doz. Dr. med. dent. Mustafa Ayna bietet eine Alleinstellung, die in Deutschland nahezu konkurrenzlos ist:
Er verfügt als einziger Behandler in Duisburg – und einer der wenigen in ganz Deutschland – über vier peer-reviewte wissenschaftliche Veröffentlichungen zum All-on-4®-Konzept.

Damit ist er nicht nur Anwender, sondern wissenschaftlich geprüfter Experte für Sofortversorgung mit festen Zähnen.

 

All-on-4® Experte Duisburg
Feste Zähne an einem Tag Oberkiefer & Unterkiefer
Einziger mit 4 peer-review Publikationen in Deutschland
Über 3.500 All-on-4® Versorgungen & 35.000 Implantate
Digitales, minimalinvasives Behandlungskonzept
Universitäres Niveau & höchste Sicherheit


All-on-4®: Feste Zähne an einem Tag

Mit dem All-on-4®-Konzept erhalten Patienten in nur einem Tag feste, sofort belastbare Zähne – sowohl im Oberkiefer als auch im Unterkiefer.
Vorteile für Patienten:

  • Sofort feste Zähne

  • Kein herausnehmbarer Zahnersatz

  • Kürzere Behandlungszeit

  • Hohe Stabilität auch bei wenig Knochen

  • Ästhetisches, natürliches Lächeln


Einzigartig in Deutschland: 4 peer-reviewte Publikationen

Dr. Ayna ist wissenschaftlich ausgewiesen – und das macht den Unterschied:

  • Vier international begutachtete Veröffentlichungen zum All-on-4®-Protokoll

  • Wissenschaftlich belegte Ergebnisse

  • Langzeitdaten und höchste Evidenz

  • Anerkennung im akademischen Bereich

Das ist ein Alleinstellungsmerkmal, das keine andere Praxis in Duisburg und kaum jemand in Deutschland vorweisen kann.


Erfahrung & Evidenz – die Kombination für maximale Sicherheit

  • Über 3.500 All-on-4® Fälle

  • Mehr als 35.000 gesetzte Implantate

  • Weltweit einer der längsten dokumentierten Verläufe zum Knochenaufbau

  • Behandlung auf Hochschulniveau – direkt vor Ort in Duisburg

Diese Erfahrung sorgt für:

  • Hohe Erfolgsquoten

  • Präzise Planung

  • Planbare Ergebnisse

  • Sicheres Vorgehen auch bei komplexen Fällen


Digitaler Workflow für höchste Präzision

Dr. Ayna kombiniert klinische Erfahrung mit modernster Technologie:

  • 3D-Planung

  • Digitale Implantatnavigation

  • Präzisions-Scanverfahren

  • Sofortversorgung ohne langes Warten

Ergebnis: Feste Zähne am selben Tag – Oberkiefer und Unterkiefer.


Für wen ist All-on-4® geeignet?

  • Zahnlose Patienten

  • Patienten mit nicht erhaltungswürdigen Zähnen

  • Prothesenträger

  • Patienten mit geringem Knochenangebot


Warum Duisburg? Warum Dr. Ayna?

Weil Patienten hier etwas bekommen, das es sonst kaum gibt:

Einzigartig in Duisburg
Einzigartig in Deutschland
All-on-4® auf wissenschaftlich höchstem Niveau


Termin & Beratung

Kostenlose Erstberatung zur Beurteilung der Möglichkeiten für „Feste Zähne an einem Tag“.

Priv.-Doz. Dr. Ayna & Kollegen – Duisburg
All-on-4® Kompetenzzentrum

Jetzt Termin vereinbaren und neues Lächeln starten.

All-on-4® – Nur dort, wo Erfahrung und Wissenschaft eins werden: bei Priv.-Doz. Dr. Mustafa Ayna.

 

 



All on 4, All on four, Zahnersatz, Praxis Dr. Ayna
Oberkiefer mit 4 Implantaten, All on 4, Praxis Dr. Ayna

Feste Zähne an einem Tag – Die außergewöhnlichen Vorteile mit

Priv.-Doz. Dr. Mustafa Ayna

 

Wenn Sie eine schnelle, sichere und wissenschaftlich belegte Lösung für festen Zahnersatz suchen, bietet Ihnen Priv.-Doz. Dr. Mustafa Ayna – einer der führenden All-on-4® Experten Deutschlands – eine Versorgung, die in Präzision, Erfahrung und Qualität kaum zu übertreffen ist.
Mit über 3.500 Full-Arch-Versorgungen gehört er zu den erfahrensten Behandlern Europas und ist unter den 100.000 deutschen Zahnärzten, Oralchirurgen und MKG-Chirurgen wissenschaftlich völlig einzigartig.


Ihre Vorteile der All-on-4® Behandlung – in ihrer besten Form

 

Feste Zähne innerhalb weniger Stunden

Bei Dr. Ayna erhalten Sie noch am selben Tag nach dem Eingriff eine festsitzende, funktionelle und ästhetische Brücke – oft schon innerhalb von 2–4 Stunden.

Ohne Knochenaufbau möglich

Das weltweit bewährte All-on-4® Konzept kommt in den meisten Fällen komplett ohne Knochenaufbau aus.
Was früher monatelange Behandlungen erforderte, ist heute oft an einem einzigen Tag realisierbar.

Sofort stark zubeißen – ein völlig neues Lebensgefühl

Ihre neuen Zähne ermöglichen Ihnen bereits kurz nach dem Eingriff ein kraftvolles, sicheres Kauen – ohne Druckstellen, ohne Wackelgefühl, ohne Prothesenfrust.

Kein Gaumenanteil – wieder schmecken, was Sie lieben

All-on-4® verzichtet vollständig auf Gaumenplatten.
Das bedeutet:
voller Geschmack, freies Sprechen, natürlicher Komfort.

Die ideale Lösung bei Unzufriedenheit mit Prothesen

Wenn Sie Ihre Prothese stört, Sie unter Zahnverlust leiden oder eine sofortige Versorgung wünschen, bietet All-on-4® die perfekte Lösung – ohne monatelange Wartezeit.

Oft deutlich günstiger als klassische Implantatlösungen

Im Vergleich zu früheren Konzepten mit 6–10 Implantaten pro Kiefer ist All-on-4® meist deutlich kostengünstiger.
Die Preise beginnen bereits ab 8.000 €.


Zahnlosigkeit – ein Problem mit enormen Folgen

 

Zahnprothesen sind für viele Menschen ein Symbol für Zahnlosigkeit, verlorene Vitalität und verlorene Lebensfreude.
Doch das tatsächliche Ausmaß ist den meisten erst bewusst, wenn sie betroffen sind.

Die Folgen von Zahnverlust sind dramatisch:

 Starker Knochenabbau

Durch den Verlust der Zähne baut sich der Knochen kontinuierlich ab – das Gesicht wirkt eingefallen, älter und müder.

 Bis zu 80 % Verlust der Kauleistung

Der Körper kann Nahrung schlechter zermahlen.
Die Zunge verliert wichtige Kontroll- und Sinnesfunktionen.

Negative Auswirkungen auf die Allgemeingesundheit

Studien zeigen klare Zusammenhänge zwischen Zahnlosigkeit und:

  • einem höheren BMI

  • einer erhöhten Sterblichkeitsrate

  • einem signifikant höheren Risiko für Demenz

  • Vitamin- und Mineralstoffmangel durch fehlende Nahrungszerkleinerung

Zahnlosigkeit ist somit nicht nur ein ästhetisches, sondern ein medizinisches Problem.


Warum All-on-4® heute die führende Lösung ist

 

Über Jahrzehnte glaubte man, ein Implantat könne nur mit umfangreichem Knochenaufbau erfolgreich gesetzt werden.
Doch moderne biomechanische Forschung zeigt:

In vielen Fällen geht es auch ohne Knochenaufbau.

Die Sofortversorgung hat sich in den letzten 15 Jahren weltweit etabliert.

Bei einem zahnlosen Kiefer ermöglicht das All-on-4® Konzept:

  • optimale Stabilität selbst bei reduziertem Knochenangebot

  • schräg inserierte Implantate im Seitenzahnbereich

  • perfekte Abstützung einer sofort einsetzbaren Brücke

  • ästhetische Versorgung innerhalb weniger Stunden

Die endgültige, hochwertige Keramiklösung folgt nach ca. 3–5 Monaten für Ober- und Unterkiefer.


**Ihre Praxis für feste Zähne in Duisburg –

 

geführt von einem Wissenschaftler und Pionier**

Die Zahnarztpraxis Priv.-Doz. Dr. Mustafa Ayna ist seit Jahren eine der führenden Adressen für Patienten, die wieder feste Zähne möchten – schnell, sicher und wissenschaftlich fundiert.

Dr. Ayna bildet selbst Zahnärzte in All-on-4® aus

Seit vielen Jahren schult und zertifiziert er Kolleginnen und Kollegen in Sofortversorgung und modernen Full-Arch-Konzepten.
Sein Wissen fließt direkt in Ihre Behandlung ein.


Warum Patienten aus ganz Deutschland zu Dr. Ayna kommen

  • Erfahrung wie kaum ein anderer in Europa

  • Einziger deutscher Zahnarzt mit vier wissenschaftlichen All-on-4® Publikationen

  • Über 3.500 All-on-4® & All-on-3 Fälle

  • Modernste digitale Verfahren (PIC-Pro, CAD/CAM, 3D-Planung)

  • Eigene Vervollkommnung der Sofortversorgungskonzepte


Zahnimplantate Duisburg • Implantologe Duisburg • All-on-4® Duisburg • Feste Zähne an einem Tag

Ihre Suche nach einer erfahrenen, wissenschaftlich fundierten und modernen Implantatpraxis endet hier.
Priv.-Doz. Dr. Mustafa Ayna bietet Ihnen Implantologie auf einem Niveau, das in Deutschland in jeder Hinsicht außergewöhnlich ist.

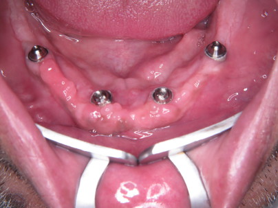
Zahnloser Unterkiefer versorgt mit 4 Zahnimplantaten für All on 4

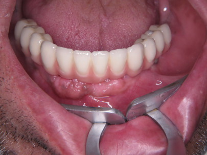
All on 4 feste Zähne Mit Keramikversorgung

  • All-on-4 Duisburg

  • All-on-4 Zahnarzt Duisburg

  • All-on-4 Implantate Duisburg

  • All-on-4 Zentrum Duisburg

  • All-on-4 Spezialist NRW

  • All-on-4 Implantologe

  • All-on-4 Deutschland

  • All-on-4 Full Arch

  • All-on-4 feste Zähne

  • Feste Zähne an einem Tag Duisburg


 

  • All-on-4 Sofortversorgung

  • All-on-4 Sofortbelastung

  • All-on-4 ohne Knochenaufbau

  • All-on-4 mit wenig Implantaten

  • All-on-4 Premium Versorgung

  • Digitale All-on-4 Planung

  • Navigierte All-on-4 Implantate

  • All-on-4 mit Photogrammetrie

  • All-on-4 auf Universitätsniveau

  • Minimalinvasive Full-Arch-Versorgung


Für hochwertige Patientenanfragen:

  • beste All-on-4 Behandlung in Duisburg

  • erfahrener All-on-4 Spezialist Ruhrgebiet

  • feste Zähne an einem Tag mit All-on-4

  • All-on-4 Kosten Duisburg Beratung

  • All-on-4 mit Beihilfe Erstattung

  • All-on-4 Behandlung ohne Prothese

  • All-on-4 Premium Implantate NRW

  • All-on-4 langfristige Erfahrung

  • All-on-4 wissenschaftlich begleitet

  • All-on-4 Zentrum mit Studien

 

  • All-on-4 Duisburg Innenstadt

  • All-on-4 Neudorf

  • All-on-4 Hamborn

  • All-on-4 Meiderich

  • All-on-4 Wanheimerort

  • All-on-4 Ruhrort

  • All-on-4 Mülheim

  • All-on-4 Oberhausen

  • All-on-4 Essen

  • All-on-4 Düsseldorf

 

  • zertifizierter All-on-4 Behandler

  • All-on-4 Referenzarzt Deutschland

  • All-on-4 mit Publikationen

  • All-on-4 Pionier Deutschland

  • All-on-4 Studienautor

  • universitäres All-on-4 Zentrum

  • All-on-4 Kompetenzzentrum

  • internationales All-on-4 Center

  • All-on-4 Gerichtsgutachter

  • All-on-4 Excellence Center

Duisburg Mülheim Essen Oberhausen Essen Krefeld Düsseldorf Dinslaken Zahnarzt Oralchirurg Zahn Implantate Keramik Eigenknochen Zahnersatz Knochenaufbau Rinderknochen Synthetischer Knochen Sinuslift Kieferhöhlenaufbau Kosten für Veneers Kosten für Zahnkrone Preise für Zahnersatz Sinuslift Sofortimplantate Was kosten Zahnimplantate Preise für Zahnersatz Zahnarzt angst Zahnarzt Angstpatienten Zahnersatz Kosten Zahnklinik Zahnimplantat Spezialist Zahnkronen Zahnbehandlung Vollnarkose Zahnbrücken Kosten Zahnersatz Preisvergleich

Hier finden Sie uns

Praxis Implantologie

Orale Chirurgie

Universitätsdozent für Implantologie 

Privatdozent Dr. Mustafa Ayna MSc MSc

Düsseldorfer Landstr. 153

47249 Duisburg 

Termine direkt

Rufen Sie einfach an +49 203 2898860 oder nutzen Sie unser Kontaktformuar.

Unsere Öffnungszeiten

Mo. :

07:30  - 12:00 

13:00  - 18:00 

Di., Do. :

07:30  - 12:00 

13:00  - 18:00 

Mi. :

07:30  - 13:30 

Fr. :

07:30  - 13:00 

Wir freuen uns, bald von Ihnen zu hören!

Druckversion | Sitemap
© Praxis Implantologie Orale Chirurgie Dr. Mustafa Ayna MSc MSc